Vous avez une question sur une de nos formations ?
Vous souhaitez participer à un événement ?
N’hésitez pas à nous contacter en remplissant le formulaire ci-dessous ou en appelant Caroline au

Nous proposons des formations pour les chirurgiens-dentistes qui souhaitent découvrir ou améliorer leur pratique en implantologie.
De l’aménagement des tissus mous aux greffes osseuses en ajoutant la prothèse, nous organisons plusieurs modules sur différentes thématiques.
CTC Formations se situe à Vienne sur le quai de la gare, à 40km au sud de Lyon
(20 minutes en train).
Depuis 2019
63 journées de formation
Près de 600 participants
Sur 9 critères de satisfaction, nos formations récoltent la note de 19/20
En 2024, 100% des participants sont satisfaits par nos formations
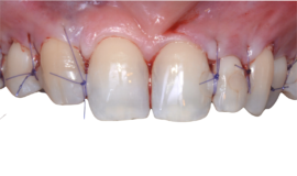
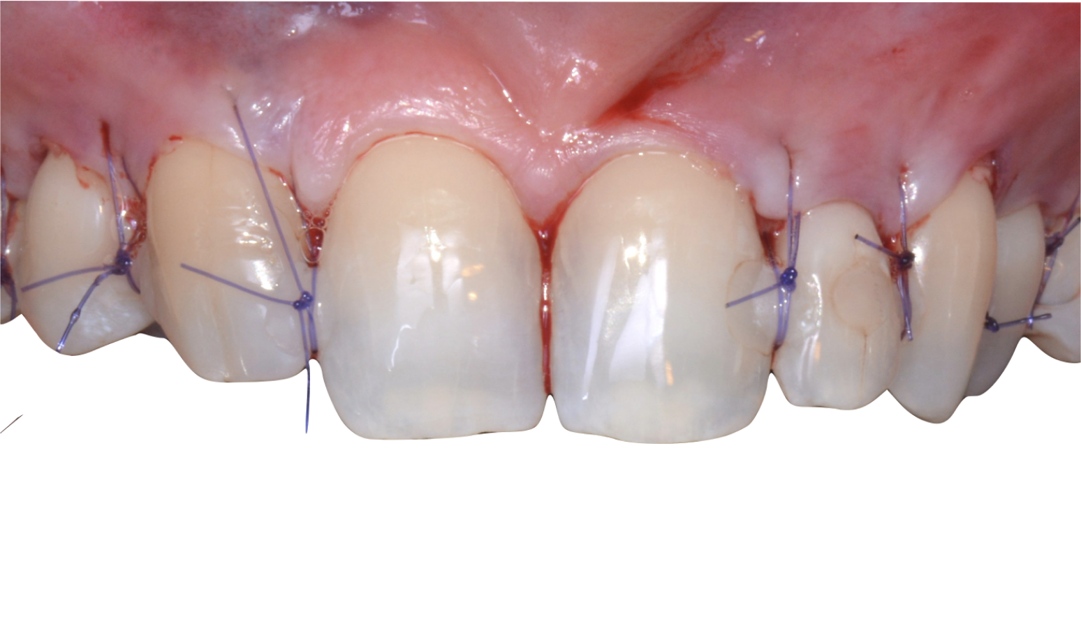
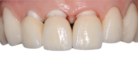
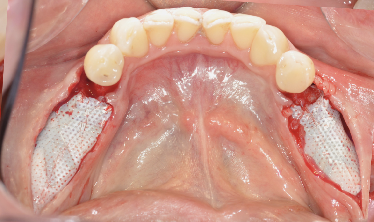
Pour mieux appréhender les subtilités des procédures chirurgicales, des journées thématiques sont régulièrement organisées au cabinet avec des chirurgies en direct, et retransmission vidéo. Le nombre de participants est limité à 10 praticiens pour des échanges et un partage de qualité avec les formateurs.
Toujours associés aux TP et aux chirurgies, les cours abordent toutes les étapes chirurgicales, de la première consultation à la gestion des complications en incluant des classifications et des arbres décisionnels.
Le but de ces enseignements est d’acquérir une base théorique solide pour maîtriser les différentes situations que ce soit en chirurgie ou en prothèse.
La mise en pratique et la répétition de la gestuelle permettent d’ancrer les principales lignes directrices et de visualiser les points importants pour se focaliser sur l’essentiel, lors de la première chirurgie. Le choix et la manipulation du matériel sont également des facteurs importants de réussite. Enfin, les travaux pratiques sont réalisés en petits groupes (4 à 5 praticiens par formateur) pour répondre à toutes les nouvelles questions que soulève la mise en situation.
Depuis 2014, nous organisons des conférences et invitons des intervenants de renom. Les thèmes sont variés et souvent orientés sur la polyclinique : esthétique, collage, carcinologie, occlusodontie,
endodontie, parodontologie…
Le but est de découvrir ou redécouvrir des points clefs de notre activité quotidienne, des astuces ou parfois bousculer les paradigmes.
Le plus important restera toujours de passer un moment riche d’échanges, de partage et de convivialité.
Nous accueillons avec plaisir, tout au long de l’année, praticiens et assistantes qui souhaitent participer aux chirurgies de leur patient. L’objectif est d’avoir un accompagnement personnalisé pour une pratique encore plus sereine.
Si vous êtes intéressés, merci de prendre contact avec notre secrétariat qui vous donnera les dates des chirurgies concernant vos patients.
Nous proposons également d’assister en groupe réduit à plusieurs interventions sur une journée avec analyses pré et post-opératoire. Le but de ces journées est de se concentrer principalement sur « les trucs et astuces » cliniques.
Vous avez une question sur une de nos formations ?
Vous souhaitez participer à un événement ?
N’hésitez pas à nous contacter en remplissant le formulaire ci-dessous ou en appelant Caroline au